...Les médecins, les infirmières, les Kinés, les pharmaciens et les préparateurs, les IADE, les IBODE, les aides-soignantes, les ASH, les brancardiers, les ambulanciers, les agents techniques et administratifs...toutes celles et ceux qui font un peu plus que leur taf et sans qui cet édifice (le système de santé français), dont nous nous vantons souvent, se serait écroulé il y'a déjà longtemps. Il est temps que tout ce secteur soit reconnu et que les acteurs qui le font tourner soient enfin dotés, reconnus et estimés à leur juste valeur!
Je suis manip radio, c’est ma profession depuis 26 ans. C’est un métier méconnu, presque hermétique au sens ésotérique du terme. Le public ne nous discerne pas de nos collègues infirmiers ou de nos « patrons » (les radiologues). On sourit souvent en nous entendant prononcer notre sacrosainte litanie : « Gonflez les poumons, bloquez, respirez… ». Nous n’apparaissons dans aucun film, aucune série, aucun livre. Bien sûr nous ne sommes pas très nombreux, mais comme dirait Léo « ils sont pas plus de cent et pourtant ils existent ! ».

Rassurez-vous il n’y a pas de besoin de reconnaissance particulier dans notre corporation et cette discrétion convient à la plupart de mes collègues. Pourtant depuis la crise du Covid, le grand public a découvert cette catégorie farouche et taciturne de professionnels de la santé.
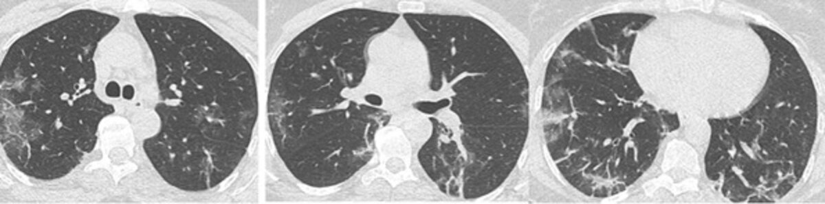
Le scanner est en effet l’examen le plus sensible dans le cadre de la détection diagnostique du virus. En tout cas il l’est largement plus que le prélèvement par écouvillonnage nasal qui donne des statistiques de 30% de faux négatifs. Il est aussi plus que le prélèvement sanguin. Les images typiques de « plages et nodules de verre dépoli à prédominance sous pleurales *» sont souvent significatives !
Ces images se retrouvent pour les patients dont les symptômes sont apparus depuis plus de 2 jours (en deçà, 56% des scanner sont normaux). Il faut bien sûr établir un diagnostic différentiel et éviter la confusion avec les images d’embolies pulmonaires à faible lésions parenchymateuses, mais aussi ne pas confondre avec certaines formes de myocardites. La sensibilité du scanner couplée au suivi radiodiagnostic des patients Covid + jette un focus sur notre job et donne un relief inattendu à notre activité professionnelle.
Et si vous voulez jetez un œil vidéo sur ce que font les manips au scanner je vous invite à cliquer sur ce lien https://youtu.be/mI-L_ZrL__U , un clip tourné par l’équipe des manips de la Timone.
Cet éclairage étant fait j’ajoute que je travaille dans un établissement privé de la région marseillaise. Un hôpital privé placé en 2ème rideau du plan global de lutte contre la pandémie. Notre établissement a, conformément aux directives de l’ARS, déprogrammé l’ensemble de l’activité chirurgicale non urgente. Les services MCO et SSR ont été vidés de leurs malades et les services de soins se sont transformés en plusieurs zones Covid (avec graduation en fonction de la gravité des patients).
Nous avons une réa de 16 lits et des « lits d’avals armés », soit une trentaine de lits équipés pour recevoir des patients avec assistance respiratoire. Pour l’instant nous arrivons à gérer le flux de patients et le turn over est fluide. La collaboration avec les établissements publics et privés de 1ère ligne est bonne sur Marseille, contrairement à d’autres régions !
Comme partout en France, la 1ère préoccupation des soignants est la prise en charge des patients et le matériel de protection des équipes. Nous bataillons pour obtenir les blouses, les masques et le reste des équipements, mais quand je vois ce qui circule sur les réseaux sociaux, j’avoue que nous sommes plutôt bien pourvus ! Cette question me semble toujours aussi surréaliste. Comment, en France en 2020, notre système se retrouve à ce point démuni face à la gestion des stocks de masques. La polémique dure parce que les décisions prises en amont de la crise, doctrine de gestion des stocks et désindustrialisation massive nous mettent, nous les soignants face à un dilemme quotidien.
En tant que soignant on ne doit pas avoir à se poser de questions de choix entre la prise en charge des patients et la mise en danger de notre intégrité physique et de celles de nos familles. Pourtant c’est à cela que nous sommes réduits partout en France : compter les masques FFP2, les blouses, les visières anti projections, les respis, les lits de réa !!! De la même manière, comment expliquer que le dépistage n’ait pas été systématisé dès les premiers cas ? C’est ce qui a été fait en Allemagne, dans les pays scandinaves, en Corée…
On nous oppose la gestion calamiteuse de cette crise sanitaire en Espagne, en Italie ou aux USA…Mais ce sont bien les exemples de ce qu’il ne faut pas faire.
Peut-être que la peur de la saturation des lits qu’aurait occasionné ce dépistage massif est une explication ? Mais si tel est le cas, les patients qui arrivent en très mauvais état après plusieurs jours de symptômes sans dépistage le doivent, peut-être, à cette volonté paradoxale d’éviter l’embolisation du système de santé français ?
Dans ces conditions que fais un manip radio ? Je ne travaille pas au scanner, mais j’ai un poste à rotation sur du radiodiagnostic (radio générale) et de la radiologie interventionnelle (bloc et Coronarographie). Le confinement a réduit considérablement l’activité traumato des urgences et bien sûr les externes ne sont pas reçus non plus. L’activité du manip radio se résume essentiellement au suivi radio des patients Covid de l’établissement…
Laissez-moi vous raconter mon Week end de garde.
Il est 7H00 ce samedi et je prends la L2 pour traverser Marseille du Nord à l’Est. Le seul avantage c’est qu’il n’y a plus de bouchon et ça en devient presque inquiétant quand on ne croise pas un seul véhicule sur tout le chemin. Un peu comme ces films d’anticipation post apocalyptique, mais la barrière du parking me rappelle à la réalité. Je passe mon badge elle se soulève, je me gare. Je file au DAV (distributeur de tenues), je récupère une blouse et un pantalon.
J’entre dans l’hôpital et là j’affronte un premier barrage. On me prend la température et on me verse du gel hydroalcoolique dans les mains. Je me frotte énergiquement les mains, je passe devant la pointeuse et je ressort mon badge…dans le vestiaire je m’habille et je récupère un masque chirurgical, accessoire devenu quasi obligatoire. Je n’oublie pas de prendre une capsule de café. Je rentre dans la salle claire je fais couler ma dose de caféine et pendant ce temps j’allume les ordis. Je rentre dans les salles de radios que je mets en marche. Les interrupteurs muraux grincent et j’appuie sur tous les boutons des différents pupitres qui permettent l’allumage des tables télécommandées. Des leds clignotent, les statifs entament leurs chorégraphies matinales pour effectuer les tests de focales et autres routines mécaniques.
Sur la console d’acquisition, les lignes de code défilent à une vitesse inintelligible, parfois des messages d’erreurs ou d’insultes apparaissent et disparaissent au gré de l’humeur de la machine. Je prends mon café en même temps que je me connecte à HM (logiciel de gestion hospitalière). L’interface affiche les onglets et je vérifie les prescriptions du jour. J’enregistre les numéros de séjour des patients à radiographier sur l’application radio. Avant d’aller aux urgences pour voir s’il y’a des patients en attente, je passe par le service Coro pour allumer les tables et effectuer les tests matinaux et vérifier que tout fonctionne correctement. Un infarctus peut débouler à toute heure du jour ou de la nuit…
Une fois terminé les tests je me rends dans l’annexe radio attenante aux urgences, j’allume la table radio, je prends la tablette et le capteur plan que je mets dans le tiroir du mobile radio. Une fois le tout opérationnel je fais un crochet aux Urgs, ce matin c’est calme, l’équipe vérifie les chariots et les box. Tout est prêt ! Je repars avec l’appareil de radio au lit. Je commence d’abord par la réa poly. Les malades sont intubés/ventilés mais ne sont pas Covid+.
Je me frotte les mains avec du gel, j’enfile une paire de gant en vinyl, je remonte mon masque et je rentre dans le 1er box. Avec une IDE on soulève le patient, je lui glisse le capteur plan sous le dos (préalablement recouvert d’un film plastique à usage unique). J’approche le mobile, je sélectionne le patient sur la work-list et j’attends la connexion entre le capteur et la tablette. Je positionne le tube au-dessus de la poitrine du patient en m’aidant du centreur lumineux. Je règle mes constantes en fonction de la morphologie du patient et de la focale, j’éloigne mes collègues de la « zone de tir ». Je guette l’inspiration pour les patients endormis. Je vérifie le cliché qui apparait instantanément sur l’écran de la tablette, je retire la cassette de sous le patient, je change le film plastique et je change de gants.
À chaque box c’est la même histoire. Je sors de la réa Poly et je nettoie avec une lingette antiseptique mon appareil. Il faut monter faire les radios au lit des soins continus et ceux de l’unité de soins intensifs cardio…
Sur le chemin je croise Marcel, le réa de garde ce samedi, dans l’allée principale. « Tu m’as fait la réa Covid ? – Ben non, je monte au 1er et au 2ème , pour la réa faut que j’attende que l’équipe s’habille…T’as des drainés là-haut ? – Oui vérifie avec les filles . – Sinon tu sais que t’as un logiciel pour prescrire les patients, hein ? – le sourire en coin il me dit qu’ils sont prescrits – Ok mais tu le sais, pas de bon, pas de radio ! – Oui pas de bon, pas de radio…Il s’éloigne en riant.
À l’étage c’est l’effervescence, les deux couloirs parallèles de l’USC ont été méthodiquement sectorisés ; à gauche la zone Covid, à droite les soins continus lourds. Je passe une tête dans l’infirmerie – pas de rajout la compagnie ? – Non rien de ce côté, en face t’as 3 drains… Je papote 5 minutes avec mes copains du CSE (Comité Social et Economique), pour prendre le pouls social de l’entreprise. Il y’a comme partout des rapports de force qui se mettent en place pour obtenir le minimum de matériel et d’organisation, mais globalement on s’en sort…Je fais les radios demandées à l’USC et je me dirige vers l’USIC (soins cardio).
Mon téléphone sonne – Moh, c’est les Urg t’es où ? – à l’étage, pourquoi ? – On a des Urgs à faire là STP – des urgences urgentes ou relatives ? – Non une épaule, un rachis sur une chute et 2 douleurs thoraciques…- je finis les USIC et je descends ok ? OK…Je termine mon travail à l’étage, je passe voir le cardio de garde – tu veux voir les radios « en live » ? ça m’évitera de les remonter…- Non t’inquiète je les regarde sur le PACS (logiciel d’archivage)…
Aux urgences je fais les radios des douleurs thoraciques, j’expédie ensuite la traumato bénigne et je ramène les clichés à l’urgentiste. Je m’apprête à aller à la réa Covid quand mon téléphone sonne à nouveau : Moh, c’est Rose j’ai oublié de te dire on a reçu un « don de solidarité », y’a quelqu’un qui nous a livré des tonnes de yaourt, on en a dans le frigo tu peux venir te servir quand tu veux – Merci Rose, y’a du riz au lait ? – Oui – Ok je passe tout à l’heure…
Indubitablement quelque chose a changé dans notre société, ce geste d’altruisme gratuit et touchant ouvre l’espace des horizons possible pour une nouvel « après ». Pourvu que nos responsables soient à la hauteur des enjeux, pourvu que eux aussi aient pris la mesures des changements nécessaires…j’ai des doutes, mais je préfère repenser à mon riz au lait, c’est mieux ! Je marque une pause dans le sas de la « réa Covid ». J’en profite pour nettoyer intégralement l’appareil. Céline sort de la réserve externe de matériel et me dit – tu fais les radios maintenant ? – Ben oui – Ok, bouge Moh, je m’habille et on les commence ensemble – oui chef…elle s’éloigne en souriant.

Agrandissement : Illustration 3

un box a été aménagé en zone d’habillage, il y’a là tout ce qu’il faut pour se déguiser en cosmonaute.
Des gants en vinyl de toutes tailles, des masques FFP2, des tenues de « peintres » jetables, des sur-chaussures, des sur-blouses jetables aussi, des charlottes et des calots de bloc opératoire, des lunettes et des casques à visières anti projection. Du gel hydroalcoolique. Tom, Julia et Céline s’habillent et m’indiquent le process, ça change tous les jour, la réflexion sur l’amélioration des protocoles d’asepsie est permanente et se sont souvent les équipes soignantes qui, d’expérience, les améliorent . En face plusieurs bains de décontamination séparés attendent le retour du matériel récupérable, uniquement les casques à visières et les lunettes. Il y’a des bassines de détergent, d’oxy floor (javel) et d’eau.
Allez il faut y aller…
Dans le 1er box, une patiente d’une soixantaine d’année est couchée là, le respi et le curare l’aident à lutter contre cette saleté. C’est l’odeur javellisée de l’Oxy floor qui prend le nez et provoque chez moi une légère désorientation sensorielle. Céline est déjà dans le box quand je rentre mon matériel. Elle est équipée de pied en cap et va rester dans ce costume lourd et inconfortable des heures…Moi je le porte le temps de faire mes radios et c’est déjà insupportable. J’imagine un peu ce que devait ressentir un chevalier français tombé de sa monture à Crécy ou Azincourt et par-delà l’espace et le temps je compatis.
Mais la voix de ma collègue me tire de mes élucubrations, elle me dit : attends Moh stp, juste une minute je l’aspire et on fait la radio – bien sûr Céline fais ce que tu as à faire…Je la regarde et je me concentre sur les gestes qu’elle effectue. A cet instant je l’admire, son regard ne trahit aucune peur, juste la concentration professionnelle et la conviction profonde que chaque soin qu’elle prodiguera à cette patient est un pas vers la guérison. Je la regarde et j’ai devant moi la définition incarnée du mot soignant. Céline n’est pas une héroïne, elle est mieux que ça. C’est une soignante au sens littéral du terme.
L’héroïsme peut confiner à l’accomplissement de gestes ou de taches inutiles pour l’honneur, la gloire ou la postérité. Céline et l’ensemble des équipes soignantes se battent pour sauver des vies, ils/elles n’ont que faire de la gloire ou de la postérité et laisse ça à ceux qui font des envolées lyriques sur les soignants quand dans le même temps ils suppriment des lits par milliers et n’envisagent la santé que par le prisme financier.
Je regarde encore Céline, Tom, Julia et tous ces collègues qui se battent au quotidien pour maintenir une qualité de prise en charge des patients à nulle autre pareille. Admirables, c’est le mot qui me vient à l’esprit, parce que c’est grâce à elles et eux que notre système de santé ne prend pas définitivement l’eau…pour combien de temps encore ? Je la regarde et au-delà de la technique et du professionnalisme je ressent l’amour qu’elle donne à cette patiente.
Et ça ne se quantifie pas, ça ne rentre dans aucune case d’aucun tableur, ça ne traversera pas la porte de ce box pour être « valorisé ». Pourtant, tout est là dans ces gestes efficaces et en même temps d’une grande douceur… Moh, on y va ou tu comptes habiter dans ce box ? Sait-elle seulement ce que notre société lui doit à elle et à tous les professionnels de santé ?

Agrandissement : Illustration 4

A chaque box, je change de surblouse et je jette la 2ème paire de gants, à chaque box je nettoie l’appareil.
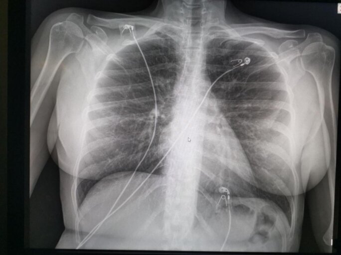
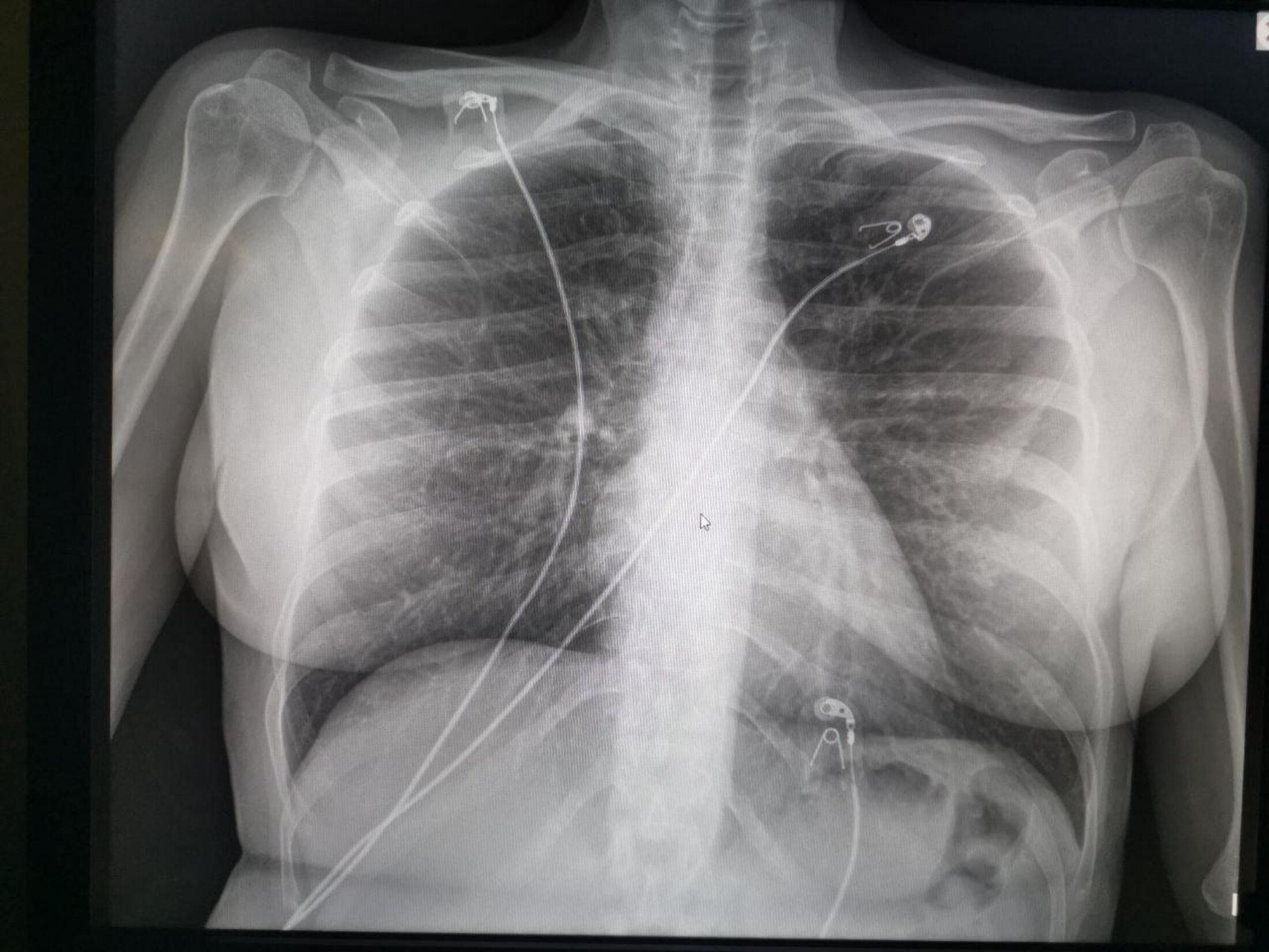
C’est harassant mais je ne me plaint pas, mes collègues en ont pour des heures comme ça…avant de sortir de la réa, Nathalie me demande si je veux des yaourts ? – Mais qu’est-ce que vous avez avec les yaourts aujourd’hui ? – c’est quelqu’un qui a fait un don…- oui je sais Nathalie, y’a du riz au lait ? – oui je crois – garde moi un pot alors stp…J’ai gagné ma journée en pot de riz au lait et ça me fait sourire. Je checke les radios avant de les ramener à Marcel. Certaines sont quasiment normales, d’autres présentent des tableaux de pneumopathies ou de fibroses interstitielles diffuses...

Agrandissement : Illustration 5

Je retourne à la radio pour entamer les codifications et récuperer un peu. Je me fais couler un café et le téléphone sonne – allo Moh, y’a une Coro, un SAMU qui arrive sur table dans 20 minutes, t’es ok ? – il parait que je suis payé pour non ? – Ok à toute, t’appelle l’infirmière, ou je le fais ? – fais le stp.
Dans l’après-midi il y’a eu d’autres radios et aussi deux interventions scopies au bloc pour des urétheros en urgence…Eh oui le Covid n’est pas la seule maladie encore existante ! Je fini rapidement les tâches administratives avant d’aller en Coro. Dans les couloirs de l’hôpital plane une ambiance bizarre, partout des panneaux de signalisations « Zone Covid », « Circuit Covid » ou « Ascenseur Covid ».
On a l’impression d’être à « Covid Land », mais c’est tout sauf un parc d’attraction. Tout a été réaménagé, tout a été repensé, tout a été réorganisé. Le bloc, les services, les personnels techniques, administratifs et soignants. Tout de fond en comble. Je suis persuadé qu’au-delà des polémiques sur les traitements, le confinement ou le dépistage, les français peuvent surtout être sûrs d’une chose : le système de santé n’est actuellement performant que parce qu’il repose intégralement sur les épaules des soignants.
Les politiques austéritaires doivent cesser et ces catégories socio-professionnelles doivent être correctement dotées et reconnues. La santé n’a pas de prix, elle a un coût et il faut l’évaluer au regard de ce que nous apprend cette crise sanitaire. Les mots de « guerre » et de « héros » n’ont aucun sens. Il faut arrêter avec le lyrisme chevrotant et proposer un « après » qui nous permette de faire face dignement à quelque menace sanitaire que ce soit. Le Covid est une épreuve terrifiante, mais avec un taux de léthalité d’environ 3%, je n’ose imaginer si l’équivalent d’une grippe espagnole (10%) ou pire une peste bubonique (70%) venait à nous frapper.
Cette période foisonne de propositions, de perspectives solidaires et il faut remettre ces initiatives en avant. La logique libérale uniquement adossé à la compétition (compétitivité n’est qu’un édulcorant) a montré ses limites. L’économique peut se reconfigurer à l’aune des besoins primordiaux d’une société. De quoi avons-nous besoin ? Que pouvons-nous partager ? Quels sont les domaines essentiels pour ladite société ? Comment reconstruire un monde qui redistribue les ressources et les richesses de manière équitable ? Comment un pays aussi riche que la France doit procéder pour être en mesure d’assurer à l’ensemble de sa population l’égal accès à la santé, à l’éducation, au travail, à la culture, à la sécurité… ? ces défis sont sur la table et c’est au politique d’assumer son rôle et ses fonctions. Les citoyens et en particulier les soignants seront vigilants…
C’est dimanche, il est 19H00. Sur le tableau veleda de la salle clair j’écris mes remarques pour la relève…demain la contre équipe enchainera et pour moi, mardi rebelote…
Bensaada Mohamed
Manip Radio Marseille, le 6 Avril 2020
*source : Société Française de Radiologie site web - https://ebulletin.radiologie.fr/