Jean Vinçot (avatar)

Jean Vinçot

Association Asperansa

Abonné·e de Mediapart

1958 Billets

0 Édition

Billet de blog 14 décembre 2022

Jean Vinçot (avatar)

Jean Vinçot

Association Asperansa

Abonné·e de Mediapart

Autisme : Un seul gène ne suffit pas à expliquer les traits dup15q et Angelman

Jean Vinçot (avatar)

Jean Vinçot

Association Asperansa

Abonné·e de Mediapart

Ce blog est personnel, la rédaction n’est pas à l’origine de ses contenus.

spectrumnews.org Traduction de "Single gene insufficient to account for dup15q, Angelman traits" - Angie Voyles Askham

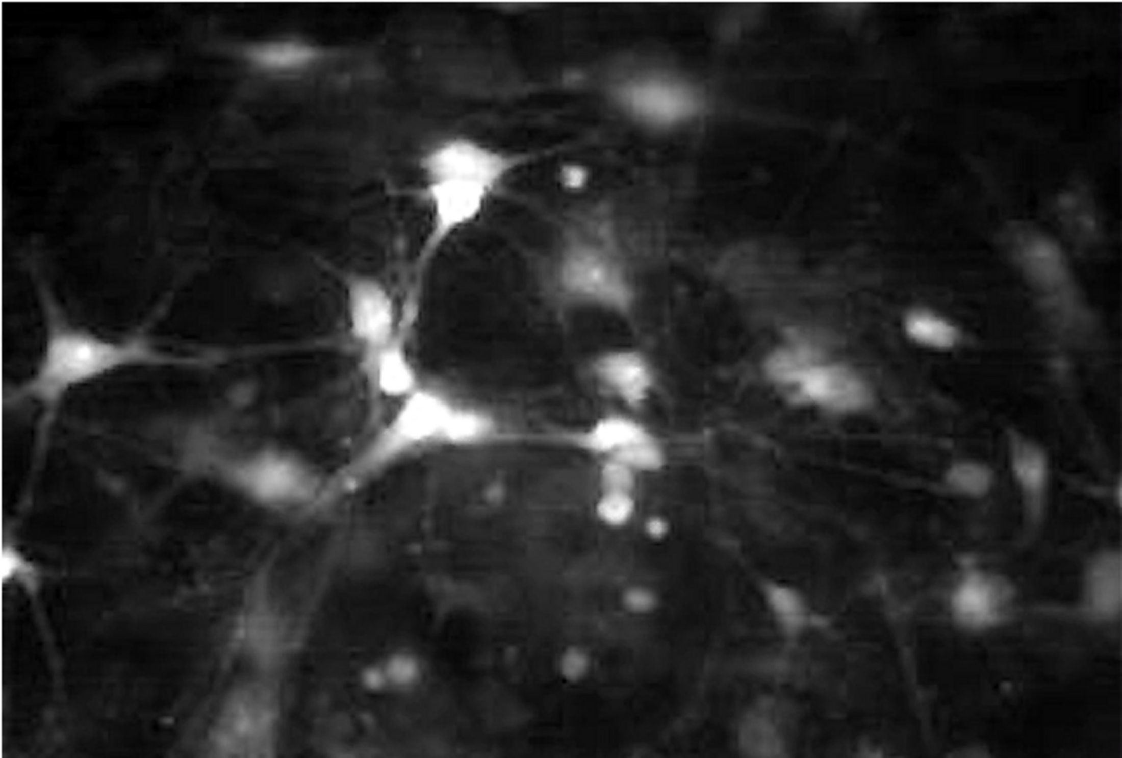
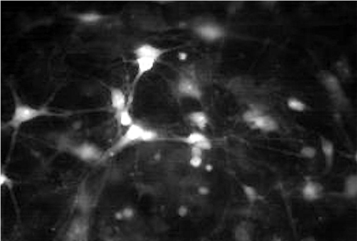
Illustration 1
Cellules actives : Les neurones présentant des mutations génétiques dans la région chromosomique 15q11-13 ont une excitabilité accrue et une fonction synaptique atypique.

Selon deux nouvelles études inédites, plusieurs gènes déterminent les caractéristiques du syndrome dup15q et du syndrome d'Angelman, deux troubles liés à l'autisme. Ces travaux ont été présentés mardi à la conférence Neuroscience 2022 à San Diego, en Californie.

Le syndrome d'Angelman est causé par des délétions ou des mutations dans la copie maternelle de la région chromosomique 15q11-13, tandis que le syndrome dup15q résulte de sa duplication. Bien que les caractéristiques diffèrent dans les deux cas - le syndrome dup15q entraîne plus fréquemment l'autisme, par exemple - les deux syndromes sont liés à une probabilité accrue de crises d'épilepsie et de retard de développement.

Les chercheurs soupçonnent depuis longtemps qu'un seul gène de la région, UBE3A, est à l'origine du syndrome d'Angelman, et il est également considéré comme une cible importante pour le syndrome dup15q. La surexpression ou la sous-expression de la région 15q11-13 maternelle, mais pas paternelle, entraîne l'une ou l'autre des deux affections - ce qui a amené les chercheurs à penser que l'UBE3A, qui est réduite au silence sur la copie paternelle par l'empreinte, est en cause.

Les personnes atteintes du syndrome d'Angelman qui perdent l'expression de l'UBE3A et d'autres gènes dans la région 15q11-13 présentent des traits plus graves que celles qui ne possèdent que l'UBE3A. De plus, les modèles animaux qui surexpriment l'UBE3A ne rendent pas entièrement compte du phénotype du syndrome dup15q, ce qui suggère que d'autres gènes déterminent également les caractéristiques associées à cette affection.

Mais on ne savait pas encore très bien quelles caractéristiques découlaient de l'expression atypique d'UBE3A, ni quels autres gènes pouvaient être impliqués, explique Marwa Elamin, boursière postdoctorale dans le laboratoire d'Eric Levine à la faculté de médecine de l'université du Connecticut à Farmington, qui a présenté l'un des posters.

Ces nouveaux travaux confirment que les modifications de l'expression d'UBE3A contribuent à un grand nombre, mais pas à la totalité, des caractéristiques atypiques observées chez les neurones porteurs de mutations dup15q et du syndrome d'Angelman.

Selon Ben Philpot, professeur de biologie cellulaire et de physiologie à l'université de Caroline du Nord à Chapel Hill, qui n'a pas participé aux études, ces résultats ont des implications importantes pour le développement de traitements. "Le fait de cibler certains des autres gènes pourrait également apporter un bénéfice thérapeutique".

Les chercheurs ont précédemment rapporté que les neurones cultivés à partir de cellules souches de personnes atteintes du syndrome dup15q émettent davantage de potentiels d'action spontanés que les neurones témoins ayant le même bagage génétique mais ne possédant pas de région chromosomique supplémentaire. Selon l'équipe, ce type d'activité supplémentaire pourrait être à l'origine des crises d'épilepsie observées chez les personnes atteintes de cette pathologie.

Les neurones Dup15q présentent également une diminution des courants postsynaptiques inhibiteurs et une membrane cellulaire plus perméable, a constaté l'équipe dans l'étude présentée par Elamin, qui est également disponible sous forme de préimpression non publiée. La diminution de l'expression d'UBE3A à l'aide d'un oligonucléotide antisens (ASO), un court brin d'ARN qui peut modifier l'expression des protéines, normalise l'activité spontanée et l'excitabilité intrinsèque des cellules, mais ne modifie pas la perméabilité de leur membrane.

La forme la plus courante du syndrome dup15q provient d'une "duplication isodencentrique", qui se traduit par deux copies supplémentaires de la région chromosomique 15q11-13 maternelle. L'UBE3A paternelle étant silencieuse, il en résulte trois copies fonctionnelles du gène, au lieu d'une seule habituellement.

Pour reproduire ce même excès d'UBE3A sans surexprimer d'autres gènes dans la région 15q11-13, Elamin et ses collègues ont utilisé des neurones dérivés d'une personne qui a deux copies d'UBE3A sur son chromosome paternel et ont utilisé un ASO pour rendre ces copies silencieuses. L'équipe a constaté que la surexpression de l'UBE3A reproduisait l'hyperexcitabilité intrinsèque observée dans les cellules dup15q, mais pas la transmission synaptique altérée ni la perméabilité accrue de la membrane.

Les neurones cultivés à partir de cellules souches de personnes atteintes du syndrome d'Angelman ont des propriétés différentes selon la proportion de la région 15q11-13 qui est affectée, a constaté l'équipe dans les travaux présentés dans son deuxième poster, ce qui suggère que l'UBE3A n'est pas non plus le seul facteur en cause.

Les cellules porteuses d'une délétion complète de la région sont plus excitables et présentent une activité synaptique plus atypique que celles qui ne présentent qu'une mutation de perte de fonction dans UBE3A, ont montré les chercheurs.

"Les autres gènes sont clairement impliqués", déclare Levine.

Outre UBE3A, la région 15q11-13 contient des gènes qui codent pour un récepteur de l'acide gamma-aminobutyrique (GABA), un neurotransmetteur inhibiteur. Contrairement à l'UBE3A, ces gènes sont exprimés à partir des copies maternelles et paternelles. Et comme de nombreuses personnes atteintes du syndrome dup15q souffrent également d'épilepsie, l'équipe a émis l'hypothèse que quelque chose pouvait ne pas fonctionner avec ce récepteur, qui est ciblé par de nombreux médicaments contre les crises.

La diminution de l'expression de la sous-unité du récepteur GABRB3 à l'aide d'un ASO a réduit l'hyperexcitabilité des neurones dup15q. En faisant de même dans les neurones de personnes atteintes du syndrome d'Angelman, on a accentué leurs problèmes de transmission inhibitrice, mais sans affecter les autres propriétés de la cellule - ce qui amène l'équipe à penser que la diminution de l'expression de GABRB3 est au moins partiellement responsable des changements synaptiques observés dans les neurones du syndrome d'Angelman.

Normaliser les niveaux de récepteurs au cours du développement peut donner aux neurones "une opportunité d'essayer de se développer d'une manière plus typique", déclare Deepa Anjan Kumar, étudiante diplômée du laboratoire de Levine qui a présenté les travaux. Mais, dit-elle, les résultats sont préliminaires et doivent être confirmés.

Les résultats suggèrent que les scientifiques devront cibler d'autres gènes que l'UBE3A pour traiter l'ensemble des caractéristiques observées dans ces pathologies, ajoute Anjan Kumar.

Cette approche pourrait avoir d'autres avantages. D'une part, la normalisation des niveaux d'UBE3A doit intervenir tôt dans le développement pour avoir un effet important, explique Levine. Mais cibler d'autres gènes, comme ceux qui codent pour les sous-unités GABA-A, pourrait être bénéfique plus tard dans le développement.

L'équipe prévoit d'étudier comment l'expression des deux autres sous-unités GABA-A - ainsi que d'autres gènes dans la région 15q11-13 - contribue à la fonction neuronale. S'ils parviennent à identifier les gènes autres que l'UBE3A qui contribuent aux phénotypes de ces pathologies, les chercheurs pourraient développer de meilleurs modèles de souris pour appliquer les traitements, explique le professeur Levine.

Lire d'autres articles sur Neuroscience 2022.

Citer cet article : https://doi.org/10.53053/SRCT6791

Ce blog est personnel, la rédaction n’est pas à l’origine de ses contenus.