Jean Vinçot (avatar)

Jean Vinçot

Association Asperansa

Abonné·e de Mediapart

1953 Billets

0 Édition

Billet de blog 18 août 2023

Jean Vinçot (avatar)

Jean Vinçot

Association Asperansa

Abonné·e de Mediapart

L'excès de liquide cérébral est-il un marqueur précoce de l'autisme ?

Drain bouché : L'excès de liquide céphalorachidien pourrait indiquer que le liquide ne circule pas bien, ce qui pourrait exposer le cerveau en développement à des molécules de déchets nocives.Cela pourrait être un biomarqueur de l'autisme dans le jeune âge.

Jean Vinçot (avatar)

Jean Vinçot

Association Asperansa

Abonné·e de Mediapart

Ce blog est personnel, la rédaction n’est pas à l’origine de ses contenus.

spectrumnews.org Traduction de "Is excess brain fluid an early marker of autism?" - par Giorgia Guglielmi - 17 août 2023

Illustration 1
Grille de quatre scanners cérébraux montrant un excès de liquide céphalo-rachidien.

En 2009, Mark Shen a remarqué quelque chose d'étrange dans le scanner cérébral d'un enfant de 6 mois dont le frère aîné était autiste : un excès de liquide entre le cerveau et le crâne. Shen - alors étudiant diplômé dans le groupe de David Amaral à l'Institut MIND de l'Université de Californie à Davis - et ses collègues ont entrepris de quantifier la quantité de liquide cérébral à partir des scanners des frères et sœurs plus jeunes d'enfants autistes. Ces "petits frères et sœurs" ont 20 fois plus de chances d'être affectés par l'autisme que la population générale.

L'équipe a rapporté en 2013 que les frères et sœurs âgés de six mois chez qui l'autisme a été diagnostiqué avaient, en moyenne, plus de liquide cérébral que les témoins. Depuis, Shen et ses collaborateurs ont confirmé le lien entre l'excès de liquide cérébral et un diagnostic ultérieur d'autisme chez des centaines de nourrissons, dont certains n'avaient pas d'antécédents familiaux d'autisme.

L'accumulation de liquide pourrait fournir des indices sur la base biologique de l'autisme, explique Geraldine Dawson, professeure de psychiatrie et de sciences du comportement à l'université Duke de Durham, en Caroline du Nord, qui n'a pas participé à la recherche. Le liquide céphalorachidien (LCR), solution riche en nutriments qui entoure le cerveau et la moelle épinière, contient des facteurs de croissance qui contrôlent la prolifération neuronale et peut libérer des métabolites susceptibles d'influencer le fonctionnement et le développement du cerveau à un stade précoce.

Un excès de LCR est déjà associé à un retard de développement et à des déficits moteurs, et des altérations de la production et du renouvellement du LCR ont été observées dans la maladie d'Alzheimer et d'autres affections neurologiques liées à l'âge et caractérisées par des difficultés cognitives et motrices.

Shen, aujourd'hui professeur adjoint de neurosciences et de psychiatrie à l'université de Caroline du Nord à Chapel Hill, tente de comprendre si des défauts dans la circulation du LCR peuvent également contribuer à l'autisme. Des études menées sur des personnes et des modèles animaux - dont la plupart n'ont pas encore été publiées - suggèrent que l'excès de liquide pourrait également se produire dans les syndromes liés à l'autisme. L'accumulation pourrait même être liée à des problèmes de sommeil, qui ont été signalés chez près de 80 % des enfants autistes.

La recherche n'en est qu'à ses débuts et n'est pas simple. Mais si elles aboutissent, l'excès de LCR pourrait éventuellement être utilisé pour prédire la probabilité d'autisme chez les nourrissons, à condition qu'il soit associé à des informations supplémentaires sur l'enfant, selon Dawson.

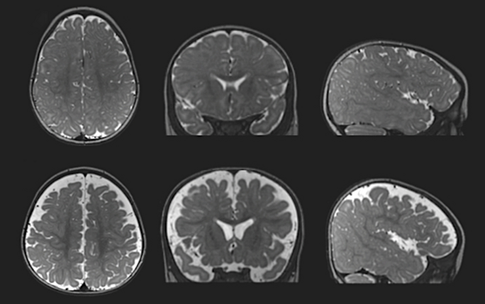
Scanners cérébraux de deux nourrissons présentant des niveaux différents de LCR.

Illustration 2
Gonflement du cerveau : Un nourrisson de 6 mois qui a ensuite été diagnostiqué autiste (rangée du bas) présentait un excès de liquide céphalorachidien entourant le cerveau (représenté en blanc) par rapport à un nourrisson au développement normal (rangée du haut).

Chaque jour, chez un adulte normal, les cellules qui tapissent les espaces remplis de liquide dans le cerveau produisent environ un demi-litre de LCR. Ce liquide se renouvelle trois ou quatre fois en 24 heures, principalement pendant le sommeil, bien que ces chiffres puissent être différents chez les nourrissons. En se déplaçant dans le cerveau, le LCR recueille les déchets neuronaux et les molécules inflammatoires - dont certaines sont liées à l'autisme et à la maladie d'Alzheimer - et les rejette dans la circulation corporelle. "Nous aimons l'appeler le système de plomberie du cerveau", explique Shen.

Même s'il s'agit d'une petite étude, 8 des 10 bébés de la fratrie de Shen qui ont été diagnostiqués autistes par la suite présentaient un reflux important de LCR - avec environ 20 % de liquide en plus en moyenne que 34 enfants neurotypiques et 11 enfants présentant un retard de développement général évalués par IRM à l'âge de 6 à 9 mois. Et plus les enfants autistes avaient de liquide à l'âge de 6 mois, plus ils présentaient de retards moteurs plus tard dans la petite enfance, selon une étude de suivi plus importante menée par Shen en 2017.

Pour comprendre si, et comment, une accumulation de liquide dans le cerveau peut contribuer à l'autisme, son équipe s'est depuis tournée vers des modèles de rongeurs atteints du syndrome de l'X fragile, la forme héréditaire la plus courante de l'autisme. Comme les bébés de la fratrie, ces animaux modèles ont plus de liquide cérébral que les témoins. Ils présentent également une circulation moindre du LCR dans le cerveau, selon les résultats non publiés que Shen a présentés en mai lors de la réunion annuelle de l'International Society for Autism Research (INSAR). (...).

Le ralentissement de la circulation peut surexposer le cerveau en développement à des molécules nocives, explique Shen. À l'appui de cette idée, les modèles X fragiles ont une capacité réduite à éliminer les protéines inflammatoires du cerveau, comme le suggèrent des travaux non publiés du laboratoire de Shen.

L'hypothèse de M. Shen est conforme à la littérature scientifique, déclare Cara Westmark, professeure adjointe de neurologie à l'université du Wisconsin-Madison, qui n'a pas participé à la recherche. Selon une étude de 2012, les souris dont le flux de LCR est réduit sont moins capables d'éliminer la protéine bêta-amyloïde, qui s'agglomère en grandes plaques dans le cerveau des personnes atteintes de la maladie d'Alzheimer.

Les niveaux de bêta-amyloïde augmentent également chez les souris X fragiles, selon les travaux de Mme Westmark et de son équipe. La protéine et son précurseur (APP) peuvent également être élevés dans le cerveau et le sang des personnes autistes, selon des études.

"Il est logique que si le cerveau n'est pas en mesure d'éliminer ces protéines, [...] cela entraînerait des problèmes de fonctionnement des neurones", explique Mme Westmark. Toutefois, ajoute-t-elle, il reste à déterminer si les altérations du flux de LCR sont une cause ou une conséquence de l'autisme.

L'accumulation de bêta-amyloïde peut altérer la transmission synaptique, déclencher des lésions neuronales et perturber les réseaux neuronaux, selon des études menées sur des modèles animaux et des cultures neuronales. Mais un scepticisme "énorme" règne, du moins dans le domaine de la maladie d'Alzheimer, sur la question de savoir si la bêta-amyloïde est à l'origine de la maladie chez l'homme, déclare George Perry, professeur de neurobiologie à l'université du Texas à San Antonio.

Au cours des deux dernières décennies, la plupart des essais cliniques de thérapies ciblées sur l'amyloïde pour la maladie d'Alzheimer ont échoué. Les recherches de M. Perry suggèrent que la bêta-amyloïde aide à neutraliser les substances chimiques susceptibles d'endommager les cellules cérébrales. La bêta-amyloïde "est une protéine normale qui joue un rôle essentiel dans les fonctions cérébrales", explique M. Perry.

Néanmoins, "l'excès d'une bonne chose peut être néfaste", ajoute-t-il. Il serait donc important de mesurer ses niveaux chez les enfants autistes et de comprendre comment la protéine se déplace entre son lieu de production et son lieu d'élimination.

Chez les enfants diagnostiqués plus tard comme autistes, l'accumulation de LCR est associée à des troubles du sommeil, ont rapporté Shen et ses collaborateurs en 2018. La plupart des enfants autistes ont un sommeil perturbé, et les problèmes de sommeil sont deux fois plus fréquents chez les enfants autistes que chez les enfants neurotypiques. L'équipe de Shen mène actuellement une étude longitudinale pour tenter de découvrir si les altérations du LCR précèdent ou suivent les difficultés de sommeil chez les enfants atteints de ces troubles.

"Nous savons que la majeure partie du renouvellement et du mouvement du LCR a lieu pendant le sommeil", explique A.J. Schwichtenberg, professeur agrégé de développement humain et de sciences familiales à l'université Purdue de West Lafayette, dans l'Indiana, parce qu'il est lié aux oscillations "à ondes lentes". "L'oscillation à ondes lentes se produit d'abord, puis, peu après, on observe une impulsion de LCR", explique Schwichtenberg, qui n'a pas participé aux études de Shen.

"Nous avons des raisons de penser que les problèmes de sommeil sont liés à un mouvement [aggravé] du LCR", ajoute-t-elle. Une seule nuit de privation de sommeil peut réduire la capacité du cerveau à éliminer les déchets, comme l'a montré une étude de 2021, ce qui entraîne une augmentation des niveaux de bêta-amyloïde dans le LCR et dans le cerveau lui-même. Le manque de sommeil peut également augmenter les niveaux de tau, une protéine liée à l'autisme et à la maladie d'Alzheimer.

"Les problèmes de sommeil sont comorbides avec l'autisme et la maladie d'Alzheimer", déclare Westmark. "Ces résultats confirment l'hypothèse selon laquelle une mauvaise élimination des déchets du cerveau contribue aux troubles neurologiques."

Indépendamment de sa biologie sous-jacente et de son lien avec le sommeil, l'accumulation de LCR pourrait être un indicateur précoce de l'autisme, selon Shen, à condition que les scientifiques trouvent des moyens de contourner certaines limitations importantes. Le fait de savoir quels sont les enfants les plus susceptibles d'être autistes permettrait aux cliniciens et aux parents de commencer rapidement les interventions comportementales qui, d'après les recherches, sont les plus efficaces lorsqu'elles sont mises en œuvre avant l'âge de 2 ans et demi.

Un algorithme combinant différentes mesures (dont le sexe, l'âge, l'excès de LCR et le volume cérébral à l'âge de 6 mois) a permis de prédire avec une précision d'environ 70 % quels bébés de la fratrie ont été diagnostiqués autistes par la suite, comme l'ont montré les travaux de M. Shen. Cependant, l'excès de liquide cérébral ne permet pas de prédire l'autisme avec une certitude absolue, explique Jared Nielsen, professeur adjoint de neurosciences cognitives et comportementales à l'université Brigham Young de Provo, dans l'Utah.

En soi, le volume du LCR n'est peut-être pas suffisant pour faire des prédictions avec un niveau de certitude cliniquement significatif ; les chercheurs devraient le combiner avec d'autres mesures cérébrales ou traits comportementaux, explique Nielsen. "Nous avons besoin d'algorithmes peut-être plus compliqués qui combinent de nombreuses sources d'information et pas seulement la quantité de liquide qui entoure le cortex cérébral."

L'utilité du LCR en tant que biomarqueur pourrait être limitée à d'autres égards : son accumulation se produit chez les enfants autistes jusqu'à l'âge de 3 ans, mais pas chez les enfants autistes plus âgés ni chez les adultes, selon deux études dirigées par Nielsen. De plus, le taux précis de production et d'absorption du LCR chez les nourrissons et les enfants en bas âge n'est pas connu, explique Shen. "Certains documents anciens suggèrent que la production de LCR chez les nourrissons est plus rapide, mais que l'absorption est plus lente que chez les adultes."

Pour que l'excès de liquide cérébral puisse être utilisé comme biomarqueur de l'autisme, les chercheurs devraient également déterminer dans quelle mesure cette caractéristique est spécifique à la condition. Selon une étude réalisée en 2020, les enfants présentant un risque élevé de schizophrénie ne présentent pas de signes d'accumulation de LCR en dehors du cerveau. Mais un excès de liquide est présent chez les nourrissons atteints du syndrome d'Angelman, une maladie génétique rare liée à l'autisme, et chez ceux atteints du syndrome de l'X fragile, selon la présentation de M. Shen à INSAR 2023.

L'excès de LCR pourrait être spécifique à l'autisme, mais les résultats de Shen doivent être reproduits dans des études plus larges, déclare John Gilmore, directeur du Centre d'excellence en santé mentale communautaire de l'Université de Caroline du Nord à Chapel Hill. L'IRM et d'autres techniques d'imagerie cérébrale ont attiré l'attention en tant que moyens d'identifier des biomarqueurs de l'autisme, mais "rien ne s'est vraiment avéré au fil des ans".

Si l'excès de LCR et l'incapacité à éliminer la neuroinflammation ne sont présents que chez certaines personnes autistes, cela pourrait aider les chercheurs à classer la condition en sous-types, selon Shen. L'identification de sous-groupes spécifiques d'autistes, ajoute-t-il, "offre la possibilité de développer des thérapies plus ciblées".

En fin de compte, ajoute-t-il, pour comprendre comment l'accumulation de liquide cérébral est liée à l'autisme, il faudra évaluer la production et le renouvellement du LCR et analyser le contenu du liquide chez les jeunes enfants. Ces deux opérations sont difficiles à réaliser. Le LCR ne peut être prélevé que par une procédure invasive appelée ponction lombaire, et l'utilisation de l'IRM pour étudier l'absorption du LCR nécessite l'injection de produits chimiques traceurs - une méthode que les chercheurs n'utiliseraient pas de manière répétée chez les jeunes enfants, selon Shen.

"Je n'ai pas perdu tout espoir que le volume du LCR soit une sorte de biomarqueur [de l'autisme]", déclare Nielsen. "Mais il reste encore beaucoup de travail à faire."

Ce blog est personnel, la rédaction n’est pas à l’origine de ses contenus.